Wrinkles, sagging, dullness... Skin aging may seem like a "superficial" issue, but it actually stems from deeper vascular decline. A latest study by a team from the New York University School of Medicine, published in Nature, has for the first time discovered that a type of macrophage (CAM) residing beside skin capillaries is specifically lost as we age. This loss directly leads to a decrease in the microvascular repair capacity and serves as an early, reversible "switch" for skin aging.

Figure 1 | The number of CAMs (green) in aging skin decreases significantly, and capillary blood flow (white) is blocked.
I. What is CAM? The "Vascular Repairman" in the Skin
Using intravital multiphoton microscopy, researchers conducted an 18-month "follow-up shoot" on the skin of the same mouse. They divided the skin into three layers: epidermis, upper dermis, and lower dermis, and the results showed that:
•Macrophages (CAMs) in the upper dermis are closely associated with capillaries, responsible for clearing blood clots, phagocytosing red blood cell debris, and maintaining smooth blood flow.
•With age, the density of CAMs decreases much faster than the loss of capillaries themselves, leaving a large number of blood vessels "unmaintained".

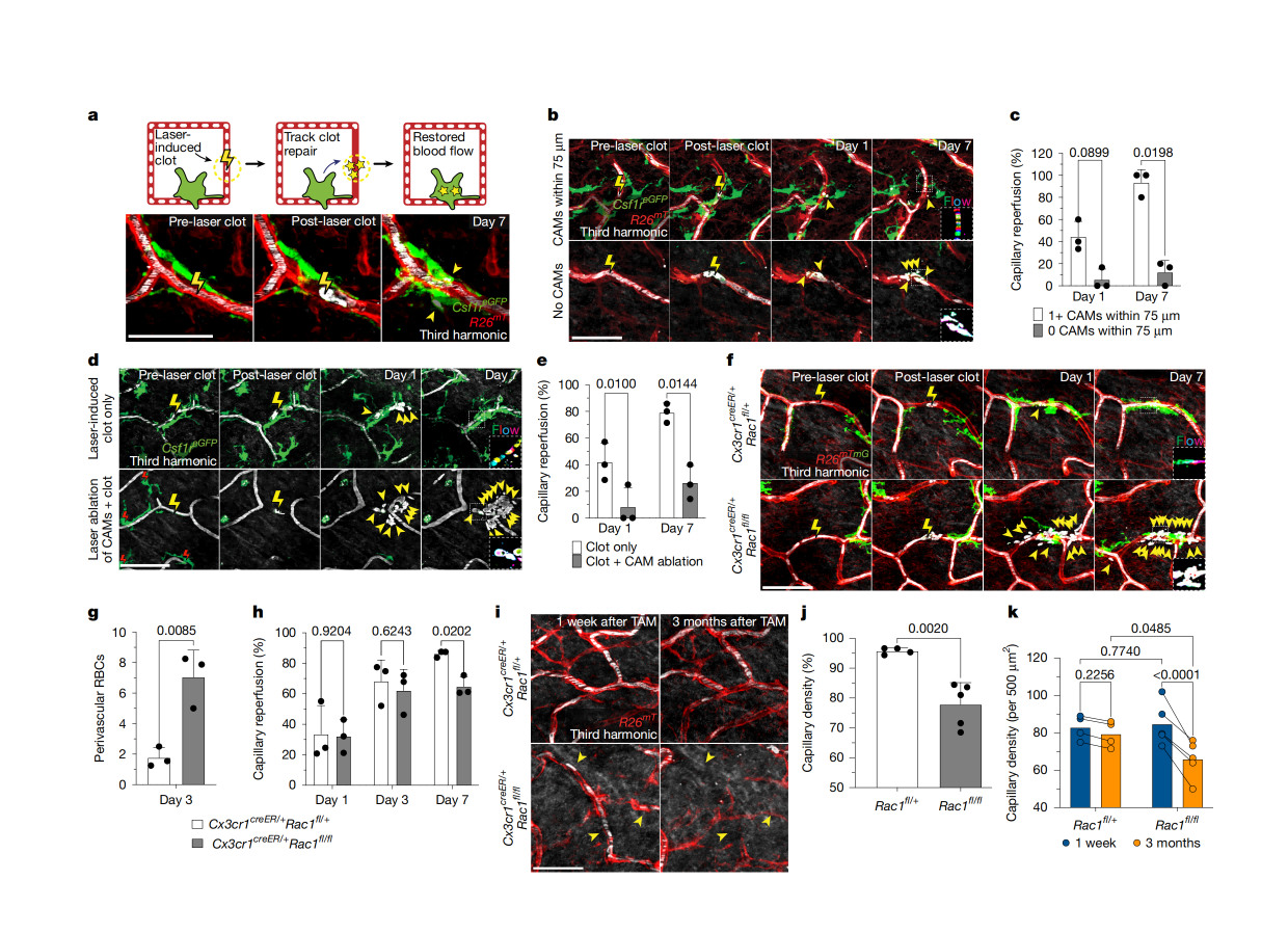
Figure 2 | After laser-induced capillary thrombosis (yellow lightning), blood flow recovery in the area with CAMs (green) is significantly better than that in the area without CAMs.
II. What Happens When CAMs Are Lost? Vascular "Blood Clots" Are Hard to Clear on Their Own
The research team used a laser to "create" tiny blood clots in capillaries to simulate daily vascular damage:
•Young Mouse: CAMs gather quickly, phagocytose blood clots, and blood flow is restored within 24 hours.
•Old Mouse: CAMs are sparse, blood clots remain, blood flow is continuously blocked, and eventually, the blood vessels are "pruned" and disappear.
More importantly, when researchers used drugs or genetic methods to clear CAMs in advance, even young mouse would experience "aging-like" repair disorders, confirming that CAMs are the rate-limiting step in vascular repair.

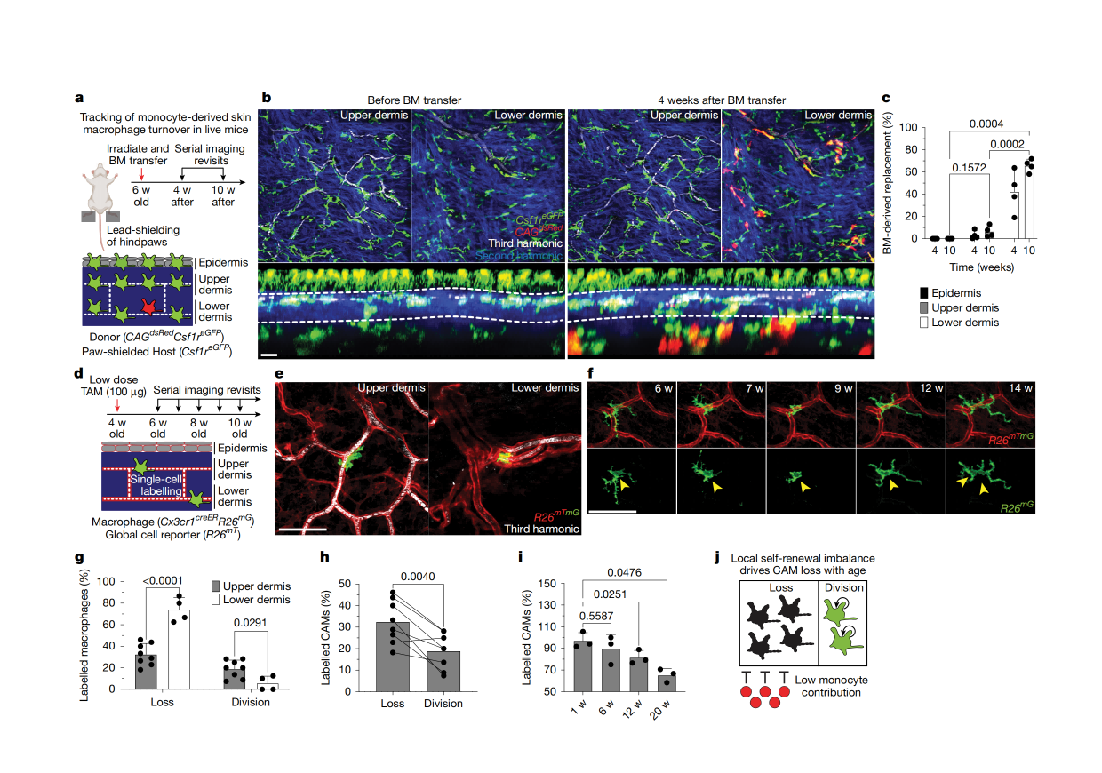
Figure 3 | Bone marrow-derived monocytes (dsRed+, red) hardly enter the upper dermis; CAMs mainly rely on local self-proliferation, but the proliferation rate cannot keep up with the loss rate.
III. Why Do CAMs "Decrease with Age"?
The traditional view holds that tissue macrophages maintain a constant number through self-proliferation plus bone marrow support. However, the new study found that:
•CAMs in the upper dermis of the skin almost entirely rely on local proliferation, with bone marrow monocytes contributing less than 5%.
•As we age, the proliferation rate of CAMs decreases, while the loss rate remains unchanged, resulting in a "shortage" (more loss than proliferation).
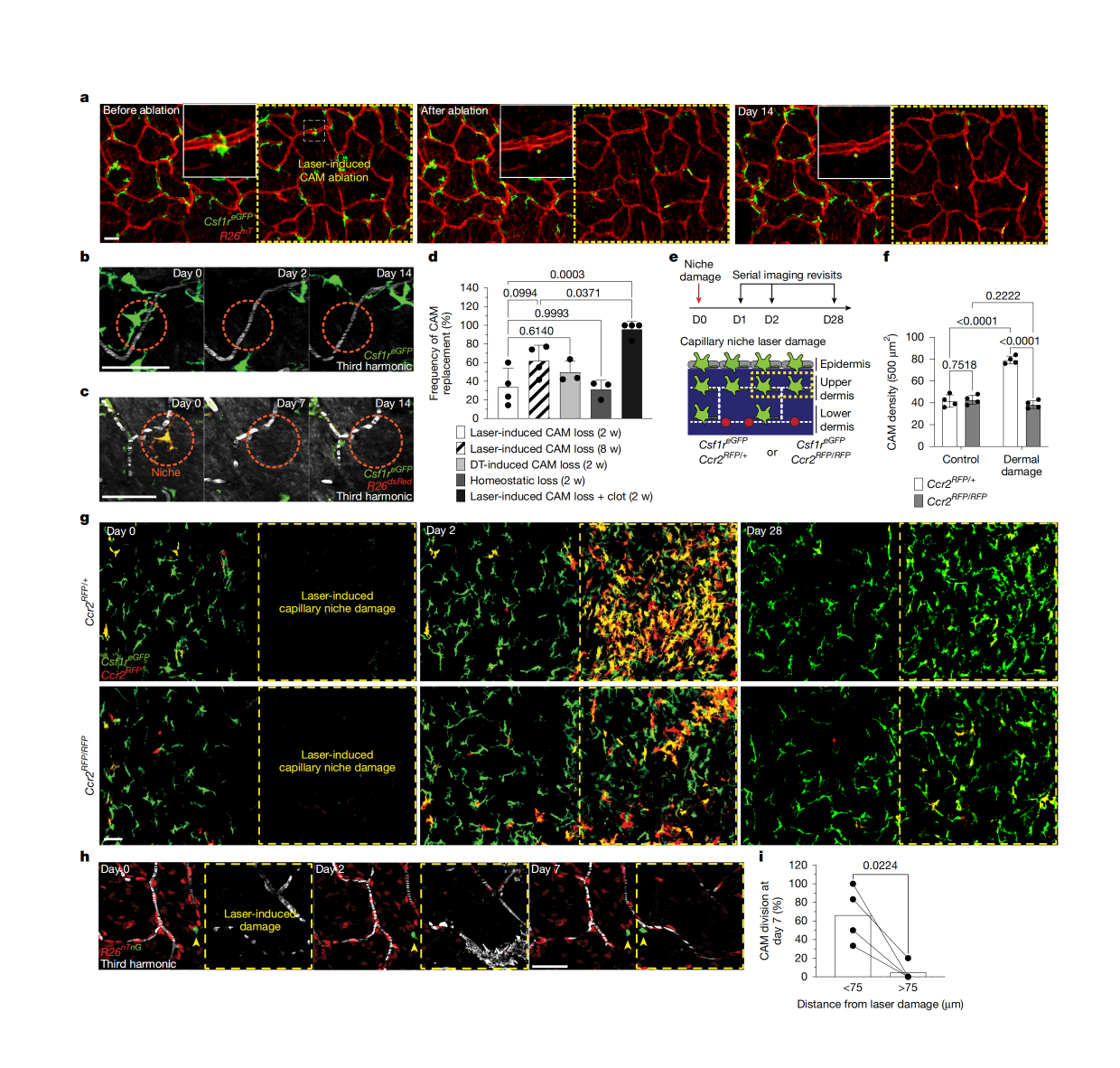
•More importantly, after the death of a single CAM, neighboring cells do not actively migrate or proliferate to fill the gap, leaving a "vacuum zone".
As a result, once a capillary is damaged, if there is no CAM within 75 μm around it, the blood clot cannot be cleared in a timely manner, and the capillary is eventually forced to be "abandoned".

Figure 4 | Eight weeks after local CAM clearance by laser, almost no cells migrate into the vacant area (yellow dashed line), and blood flow decreases significantly.
IV. Good News: Supplementing CAMs Can "Reverse" Vascular Aging
The authors gave 20–24-month-old elderly mouse intradermal injections of CSF1-Fc (macrophage growth factor) for 4 consecutive days, and the results showed that:
•The density of CAMs returned to the young level;
•Spontaneous capillary blood flow obstruction was reduced;
•The repair speed of subsequent laser-induced blood clots was significantly accelerated.
This "local reinforcement" strategy does not require systemic administration, providing a new idea for anti-aging skin care, chronic wound healing, and even delaying organ aging.

Figure 5 | CSF1-Fc (right) increases the density of CAMs (green) in elderly mouse, and blood flow recovery after laser-induced thrombosis is significantly better than that of the PBS control (left).
V. Written on the Face, and Also in the Body
The research team further examined human skin samples and found that the ratio of the number of CAMs to capillary density in the elderly over 75 years old was significantly lower than that in young people under 40 years old, confirming that "CAM-vascular coupled loss" also applies to humans.
This not only explains why the elderly's skin is more prone to bruising and difficult-to-heal ulcers, but also suggests that maintaining the health of local immune cells may be a universal strategy for anti-aging.

Reference: Mesa, K.R. et al. Niche-specific dermal macrophage loss promotes skin capillary ageing. Nature (2025)